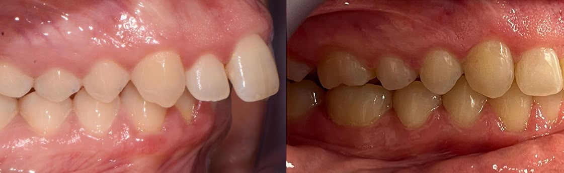
Tramite mascherine trasparenti rimovibili è possibile allineare i propri denti. Si inizia con una scansione delle arcate e lo sviluppo di un piano di trattamento da parte del dentista, verranno poi prodotte delle mascherine che saranno cambiate periodicamente per arrivare al risultato finale. In base alla gravità e al grado di disallineamento il trattamento può durare dai 4 ai 24 mesi. È un trattamento indolore e che permette sia ai ragazzi che agli adulti di allineare i denti senza il discomfort dell’apparecchio fisso tradizionale.
